问题
如何在myQA Patients中测量一个长计划?如何合并两个野/测量结果?
回答
Combine Fields wizard野合并向导以inline方向组合两个野,支持对大野的Patient QA。
对于比探测器传感器面积更大的野,要进行两次测量,一次是上部分,一次是下部分,并且要有少量的重叠,以确保完全覆盖。通过应用 Combine Fields wizard,这两个野部分被组合成完整的野。
重叠区域的值是两个测量值的平均值:
测量的例子:
“+”表示组合野的等中心。在本例中,等中心从MatriXX分辨率检测器的边缘对齐到传感器的第三行:
这里是myQA Patients的工作流程:
步骤一
打开 Verification Compare > Project Explorer 然后打开包含要合并的两张图片的文件夹
步骤二
选择这两个图像,右键单击,然后在打开的上下文菜单中选择Combine Fields。将打开Combine Fields窗口。图片选择,例如,(1),加载的下部,和图像加载选中后(2)上部和自动旋转180°假设的探测器方向上下野被设置为0°(4)Measurement Configuration测量配置:
步骤三
组合野(3)是根据Combine Fields 窗口中定义的参数生成的:
步骤四
根据您的设置设置参数。
为了保证组合图像的质量,至少需要一个重叠的行。
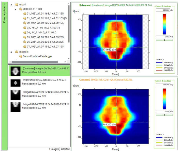
步骤五
如往常一样在Verification Compare中比较组合野的测量值: